Tannbleking

Ytre misfarging på tennene kan pusses og poleres bort av tannlege eller tannpleier. Dette forandrer ikke selve tannfargen, men kan i mange tilfeller gi et godt resultat.

Ønsker man lysere tenner, er det derimot nødvendig med tannbleking. Dette kan enten utføres hjemme, eller på din tannklinikk. Det benyttes da blekemiddel som trenger inn i tannen og tar bort fargestoffer og indre misfarging.

Klinikkbleking

Ved klinikkbleking utføres blekingen mens man sitter i tannlegestolen. Det legges først en beskyt­telse på tannkjøttet. Deretter påføres blekemiddel på fremsiden av tennene som skal blekes. Hele prosessen tar normalt 1-2 timer, og blekeresultatet er synlig når behandlingen er ferdig.

Hjemmebleking

Dersom man skal benytte seg av hjemmebleking, vil tannlegen først ta en avstøpning av tennene og lage en gipsmodell. Gipsmodellen brukes til å fremstille en blekeskinne. Blekeskinnen passer perfekt over tennene og er derfor ikke ubehagelig å ha i munnen.

Det finnes ulike typer hjemmebleking

Nattbleking : Blekemiddelet benyttes mens man sover. Det anbefales at man bleker 6-8 timer per natt. Antall dager varierer – enten til man har oppnådd ønsket resultat, eller inntil man har brukt opp blekemiddelet.

Dagbleking : Blekemiddelet benyttes i løpet av dagen. Antall dager varierer – enten til man har oppnådd ønsket resultat, eller inntil man har brukt opp blekemiddelet.

Fremgangsmåte ved hjemmebleking

  1. Puss tennene nøye og rengjør eventuelt med tanntråd. Skyll munnen med fluor.
  2. Blek kun én kjeve om gangen.
  3. For de tennene som skal blekes: plassér en liten dråpe gel i den del av skinnen som tilsvarer forsiden av tennene. Mengden gel skal anpasses størrelsen på de respektive tenner (små tenner = mindre gel, store tenner = mer gel).
  4. Sett tilbake hetten på sprøytespissen.
  5. Tørk vekk spytt fra tennene som skal blekes.
  6. Plasser skinnen over tennene og pass på at den sitter ordentlig på plass.
  7. Tørk bort overflødig gel fra tannkjøttet.
  8. Blekeperioden kan nå starte.

Når blekeperioden er ferdig

  1. Ta blekeskinnen ut av munnen og fjern rester av blekemiddelet fra tenner og tannkjøtt.
  2. Skyll munnen med fluor i 2 minutt.
  3. Rengjør skinnen forsiktig i kaldt vann med hjelp av tannbørsten. Det er viktig ikke å bruke varmt vann, da dette kan deformere/ødelegge skinnen.

Viktig å vite når man skal bleke

Det er på forhånd vanskelig å forutsi blekeresultatet. Resultatet varierer fra person til person, men de aller fleste får hvitere tenner etter endt bleking. Her følger noen generelle råd som bør følges for å oppnå et best mulig resultat.

  • Det er anbefalt at en tannlege eller tannpleier har vurdert tenner og tannkjøtt før bleking igangsettes. De kan vurdere hvorvidt tannbleking kan gjennomføres.
  • Ikke bruk andre blekemidler enn de som er kjøpt fra en tannlege eller tannpleier.
  • Fyllinger og keramiske kroner påvirkes ikke av blekemidde­let, og vil følgelig ikke blekes. Det kan derfor bli nødvendig å skifte synlige fyllinger etter endt bleking.
  • Unngå i størst mulig grad produkter som kan misfarge ten­nene i blekeperioden – vin, te, kaffe og tobakk. Tennene vil i denne perioden være mer mottakelige for fargestoffer. Bruk av de nevnte produkter kan derfor gjøre blekeresulta­tet dårligere. Det er også anbefalt å holde bruken av disse produktene til et minimum inntil 2-3 uker etter at man er fer­dig med å bleke.

Andre råd som bør følges når man bleker tennene

Det er nyttig å skylle munnen med fluor i blekeperioden. Dette for å unngå eventuell ising i tennene. Spesialtannkrem mot ising kan også være til god hjelp for mange. Dersom det oppstår plagsomme smerter, bør blekingen avbrytes og tannlegen kontaktes.

  • For mye blekemiddel i skinnen kan føre til sårhet i tannkjøttet. Vent da noen dager og forsøk igjen.
  • Gravide kvinner skal ikke bleke under svangerskapet. Det er heller ikke anbefalt at ammende kvinner bleker tennene.
  • Blekemiddelet brukes og oppbevares i henhold til fabrikantens anbefalinger.
  • Bruk ikke tobakksprodukter mens blekeskinnen er i munnen.
  • Spis ikke mat mens blekeskinnen er i munnen.

Klinisk bildegalleri

Bildet viser tenner før bleking. Tennene har ingen synlige fyllinger og kan derfor egne seg godt for bleking.

Bildet viser tenner før bleking. Tennene har ingen synlige fyllinger og kan derfor egne seg godt for bleking.

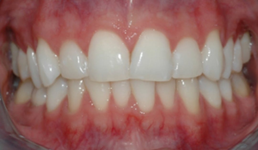
Bildet viser resultatet etter endt bleking. Det er her benyttet hjemmebleking med skinne brukt om natten.

Bildet viser resultatet etter endt bleking. Det er her benyttet hjemmebleking med skinne brukt om natten.

Bildet viser tenner før bleking. Tennene har ingen synlige fyllinger og kan derfor egne seg godt for bleking

Bildet viser tenner før bleking. Tennene har ingen synlige fyllinger og kan derfor egne seg godt for bleking

Bildet viser resultatet etter endt bleking. Det er her benyttet hjemmebleking med skinne brukt på dagtid.

Bildet viser resultatet etter endt bleking. Det er her benyttet hjemmebleking med skinne brukt på dagtid.

Video